
Table of Contents
- What Are Posterior Teeth?
- Types of Posterior Teeth
- Anatomy of Posterior Teeth
- The Role Of Wisdom Teeth
- Functions of Posterior Teeth
- Importance of Oral Hygiene and Posterior Teeth
- Common Issues With Posterior Teeth
- Dental Treatment for Posterior Teeth
- Preventing Posterior Teeth Problems
- Restoring Missing Posterior Teeth
- The Connection Between Posterior Teeth and Overall Health
- Recap
- FAQs
The molars and premolars are the rear teeth in your mouth. They work hard to grind up your favorite foods and keep your jaw structure in place. But what happens if they start to face most of the problems, such as decay, cracks, or gum disease?
This article will explore everything related to posterior teeth: their function, common problems, effective treatments, and prevention techniques. So, let us get started and give your back teeth the attention they deserve!
What Are Posterior Teeth?
The posterior teeth, also known as teeth located at the back of the mouth are primarily responsible for chewing and grinding. Posterior teeth feature large sizes, are stronger than anterior teeth (incisors and canines), and are flat with cusps (bumps) designed for food breaking.
Adults possess eight premolars and twelve molars, including wisdom teeth at the end of the rows. The posterior teeth are crucial for chewing, maintaining the jaw's natural shape, and promoting dental health.
Types of Posterior Teeth
Premolars
These two teeth, or bicuspids, are between the canines and molars. Because of their design, they are useful for tearing and crushing food. Premolars are transitional teeth that possess canine-molar characteristics.
Molar
The largest and strongest teeth are the molars, the broadest teeth in the mouth. They have broad surfaces with multiple cusps for grinding food. Adults usually have 12 molars, including wisdom teeth.

Anatomy of Posterior Teeth
Crown
This is the visible part above the gumline. It is covered with enamel, the hardest part of the body. The anatomy of the crown defines the function of the tooth.

Roots
Posterior teeth might have one or three roots anchoring them into the jawbone. These roots are longer and stronger than anterior teeth, proving stability when chewing and biting.
Enamel, Dentin, and Pulp
Enamel is the outermost layer of the tooth, which protects the tooth from being damaged and decayed. Underneath this enamel layer is dentin, which acts as the supportive layer. Below that is pulp, a nerve and blood supply present within the tooth, which nourishes the life of the tooth.
The Role Of Wisdom Teeth
What Are Wisdom Teeth?
Wisdom teeth are third molars at the very back of the mouth. They grow between the ages of 17 and 25. Some individuals have enough space for these teeth, while others do not.
Problems with Wisdom Teeth
Impacted wisdom teeth can cause pain, swelling, and infection. They may also damage adjacent teeth or cause crowding. Routine dental follow-ups help track their growth.
Extraction
Usually, wisdom teeth are taken out to circumvent complications. It is a common procedure and is performed under local or general anesthesia. Normal recovery lasts a few days to a week.
Functions of Posterior Teeth
Chewing and Grinding
Posterior teeth are meant for breaking food into small pieces. Premolars tear and crush food, while molars grind food for digestion. This is extremely important for the absorption of nutrients.
Maintaining Jaw Structure
Posterior teeth help maintain the shape and alignment of the jaw. They help sustain facial muscles and prevent bone loss in the jaw.
Supporting Speech
These teeth aid in articulation and clarity of speech. They contribute to sound formation by directing airflow and facilitating tongue positioning. Without them, speech may become slurred or unclear.
Importance of Oral Hygiene and Posterior Teeth
Brushing Techniques
Use a soft-bristled toothbrush to clean posterior teeth effectively. Hold the toothbrush at a 45-degree angle against the gum surface. Brush for at least two minutes on all the surfaces.
Flossing
Flossing removes tiny bits of food and plaque from between the back teeth. Use gentle sawing motions to avoid hurting your gums. It is important to floss once a day to keep teeth and gums healthy.
Mouthwash
Wash the mouth with an antibacterial mouthwash that is not harmful to gums and freshens your breath. Mouthwash reaches the parts that brushing and flossing cannot reach. It's good in complementing oral hygiene in practice.
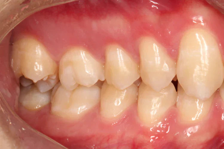
Common Issues With Posterior Teeth
Tooth Decay
The posterior teeth are prone to decay due to their grooves and pitted surfaces. Food particles may get lodged, leading to plaque accumulation. Therefore, regular brushing and flossing must be necessary.
Gum Disease
Gum disease usually affects the posterior teeth because they are harder to clean. Inflammation can lead to pain and swelling or can result in tooth loss. Maintaining proper oral hygiene can help minimize the risk of gum disease.
Cracked or Fractured Teeth
Again, the posterior teeth break food apart. They do this with great force when chewing hard foods. Teeth grinding can cause fractures. A cracked tooth requires either a crown or a root canal treatment.
Dental Treatment for Posterior Teeth
Fillings
Fillings are used to treat cavities in back teeth. The dentist removes decayed material and fills the space with composite or amalgam. This helps to restore tooth function and prevents further decay.
Crowns
Crowns are caps over the back teeth that have been damaged or weakened, protecting the tooth and restoring its shape and function. Crowns can be fabricated from porcelain, metal, or both.
Root Canal Treatment
Root canals are indicated when the pulp of a posterior tooth becomes infected. The procedure consists of removing the infected pulp and sealing the tooth. This saves the tooth from extraction and relieves pain.
Preventing Posterior Teeth Problems
Regular Dental Checkups
Your dentist should perform professional cleanings and exams every six months. They help to detect early problems, even before they get expensive to rectify. Besides, they provide advice specific to oral care for you.
Healthy Diet
Limit sugary and acidic foods that can cause decay in your posterior teeth. An adequate diet should be rich in vitamins and minerals for strong teeth. Water helps wash away food particles and bacteria.
Avoiding Bad Habits
Avoid cracking or chewing hard materials, such as ice cubes, as these habits may result in tooth cracks. Quit smoking to lower your risk of gum disease and tooth loss.
Restoring Missing Posterior Teeth
Dental Implants
Dental implants are titanium posts used to replace lost posterior teeth. These implants are surgically inserted into the jawbone and crowned. Dental implants behave and function very much like natural teeth.
Bridges
Bridges fill the space created by missing posterior teeth. Anchored to the adjacent teeth, they restore function while allowing for chewing. Bridges are a fixed solution, dependent on proper care.
Dentures
Dentures are removable support appliances designed to replace missing teeth. Partial dentures can replace one or more posterior teeth. They are affordable, but they may need re-fitting as time goes on.
The Connection Between Posterior Teeth and Overall Health
Digestive Health
The posterior teeth crush food, playing a key role in digestion. Poor chewing ability can lead to digestive problems like bloating and indigestion. Healthy teeth maintenance supports overall digestive health.
Heart Health
Gum disease linked to the posterior teeth can increase the chances of heart disease. The bacteria from the mouth can enter the bloodstream and damage the heart. Good oral hygiene helps keep the heart healthy.
Mental Health
Missing or damaged teeth in the posterior region can affect self-esteem and confidence. Therefore, restoring your smile will benefit your mental well-being. A healthier mouth augurs well for the overall approach to life.
Recap
The posterior teeth are responsible for chewing and speaking, which works in the dental aspect of oral health conditions. Knowing the anatomy and function of posterior teeth is essential in evaluating how to care for them. Caring for these posterior teeth ensures that the person enjoys a healthy smile for years ahead.
FAQs
Q: What is the difference between anterior and posterior teeth?
A: Anterior teeth (incisors and canines) are at the front of the mouth, used for biting and cutting food; posterior teeth (premolars and molars) are at the back, responsible for grinding and chewing.
Q: Why are posterior teeth extracted first?
A: Because of decay, gum disease, or impaction (such as wisdom teeth), posterior teeth are usually extracted first by the dentist. They are difficult to clean, making them easily prone to dental problems.
Q: Are back teeth difficult to extract?
A: Back teeth may be harder to extract due to multiple roots and locations. This can, however, be performed by a qualified dentist or oral surgeon safely and effectively.
References
American Dental Association. Crowns (https://www.mouthhealthy.org/en/az-topics/c/crowns). Accessed 4/14/2023.
Merck Manual (Consumer Version). Biology of the Teeth (https://www.merckmanuals.com/home/mouth-and-dental-disorders/biology-of-the-mouth-and-teeth/biology-of-the-teeth#:~:text=There%20are%2032%20permanent%20teeth,not%20get%20any%20wisdom%20teeth). Accessed 1/26/2023.
Zimmerman B, Shumway KR, Jenzer AC. Physiology, Tooth (https://www.ncbi.nlm.nih.gov/books/NBK538475/). 2022 Apr 14. In: StatPearls [Internet]. Treasure Island, FL: StatPearls Publishing; 2022 Jan-. Accessed 1/26/2023.
National Institute on Aging. Taking Care of Your Teeth and Mouth
National Library of Medicine. Tooth Anatomy (https://medlineplus.gov/ency/imagepages/1121.htm). Accessed 1/26/2023.